案例分享『17』--- 前牙錯咬之混合齒列矯正
很多家長都會問,幾歲才要開始矯正?
周醫師解答:只要牙齒亂,隨時都可開始矯正!隨著科技的進步,矯正工具越來越多元,從MRC到隱適美-first,在在都可以改善傳統矯正器的缺點,儘早介入治療,以防越長越歪甚至影響臉型!當然也不是隨隨便便抓來就做!聽我娓娓道來!
剛剛提到的MRC或隱適美都是需要病患的極度配合才有效,所以有時太小的病人,雖然牙齒不整,我還是不一定馬上介入治療,因為他不配合戴,根本無效!!所以我會挑時間介入比較好
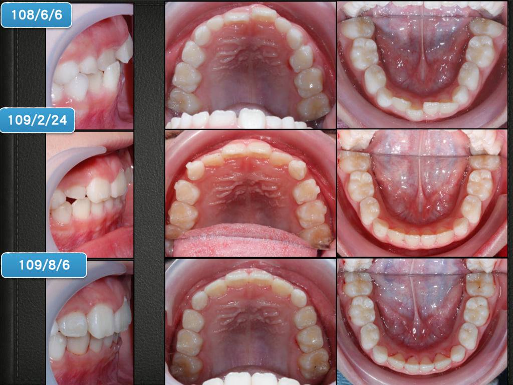
至少下顎恆門牙4顆,上顎恆門牙2顆長出:這個時候小病患較聽得懂話,也比較願意配合治療,這種第一階段的矯正,目標是把上下門牙4顆排整齊,並創造足夠的空間,讓未來的牙齒可自然萌發排整齊,大家要有一個觀念,牙齒會排不整齊,就是因為空間不夠!!隱適美-first可以連乳牙一起移動,並提供更多的空間,讓未來萌發的牙齒有更多的空間!那透過1年多的治療,大部分的病例都可以達到很好的成果。再來就是等待換牙,那因為青春期的變數真的很大,有些案例的確需要在高中或大學時再做一次矯正,但只要空間留得夠,未來成人矯正的機率可以大大降低,就算真的需要再矯正,難度也會降低很多!
又有人提問拉~那既然都有要做兩次的風險,幹嘛不拖到最後那次再做?
第一.骨骼的發育是有時間性的,青少年的骨頭可塑性高,如果都要拖到成年,到時骨頭已經沒有可塑性,治療的方式會變少,治療難度與時間都會大大增加,可能原本不需要拔牙的案例後來就需要拔牙了!
第二.咬合不正甚至臉型歪斜,在青少年時期,對發育與社交都會有影響,牙齒很亂的小孩可能因為被嘲笑而自信心降低,根本不敢笑,所以親愛的家長,小孩的成長只有一次,能夠儘早改善他的問題,對他的一輩子都是有很大的幫助!
#隱適美 #隱形牙套 #隱形矯正 #牙齒矯正 #invisalign #invisalignsmile #Invisalignfirst #invisaligndoctor #土城矯正 #基隆矯正 #三峽矯正 #兒童矯正 #隱適美專家 #周霖晉醫師 #青少年矯正 #暴牙矯正 #戽斗矯正





