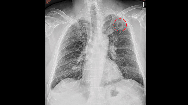
【NOW健康 陳郁茹/台中報導】台中1名56歲的盧先生,本身有糖尿病史與抽菸習慣,前陣子確診,在痊癒後卻仍持續咳嗽,原本他不以為意,直到後來周遭人群投來異樣眼光,懷疑他在散播病毒,才到胸腔內科門診就醫。烏日林新醫院胸腔內科醫師許人文表示,患者X光檢查中左上肺有一個2.5公分的空洞,雖然痰液抹片結核菌為陰性,但電腦斷層掃描判定為肺結核菌所造成,目前病人已接受抗結核藥物治療,並通報衛生單位。
病患以為是長新冠!未料病因是肺結核
國內自新冠肺炎(COVID-19)疫情爆發大流行以來,截至6月中為止本土個案已累計超過270萬例,許人文透露,最近發現門診許多位患者因新冠肺炎痊癒後,仍持續嚴重咳嗽不止,有「長新冠症狀」。這些病人大部分屬於輕症,在感染新冠肺炎期間並沒有特別不適,但感染後持續性咳嗽,讓他們難以忍受,這些咳嗽若不治療,可能會持續數週到數月之久!
許人文指出,染疫康復者需要注意的是,「長新冠」可能藏有陷阱,盧先生從確診到康復已經接連咳嗽超過4週,誤以為自己是「長新冠」引起,卻渾然不知已經咳到左上肺破洞,來到醫院才發現是肺結核!

▲烏日林新醫院胸腔內科醫師許人文指出,從患者X光檢查中發現左上肺有一個2.5公分的空洞。(圖/烏日林新醫院提供)
許人文提到,最近全球陸續發布「長新冠」的研究報告,大家對於新冠後遺症越來越擔憂,如今全球染疫者超過5億人口,20%康復後依然受到影響。「長新冠」常見的呼吸道症狀包括咳嗽、胸悶、呼吸困難、胸痛、 喘氣等,這些症狀在感染消失後,可能會持續數週或數月,大約 2.5% 的人在感染新冠病毒1年後仍在持續咳嗽。
染疫痊癒者喉嚨、支氣管較敏感 任何原因都會咳嗽
針對新冠病毒引起咳嗽,許人文說明,咳嗽是排除病毒等有害刺激物的1種反射方式,但感染新冠病毒痊癒後,呼吸道發炎可持續1段很長的時間,這時喉嚨與支氣管非常敏感,只要風吹草動都會誘發咳嗽,有些感染者是肺部組織因發炎而留下疤痕,造成間質性肺病。
許人文強調,民眾特別要注意的是,其他潛在的疾病也可能導致慢性咳嗽,包括繼發性病菌感染,肺腫瘤等等,如果將咳嗽認定為染疫後「長新冠」的咳嗽,容易忽略其他導致慢性咳嗽的重要原因。假若病人有發燒、胸痛、心跳加速或呼吸困難惡化,一定要立即就醫,且可至胸腔內科進行檢查及確認。
更多NOW健康報導
▸BA.4、BA.5恐再掀疫情 次世代追加劑對抗變異株有解
▸搶在肝功能黃金治療期 免疫組合助肝癌提升腫瘤反應率