老婦菜園跌倒 玉米莖刺臉插腦

2160
【NOW健康 李宛真/台北報導】
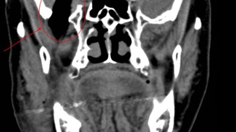
X光片
▲74歲陳姓婦人因跌倒導致玉米莖插入顱內,所幸經開顱手術後重建頭骨,並未留下後遺症。

玉米莖硬如竹竿,不慎竟也刺臉插頭顱。家住南港74歲的陳姓婦人,日前在自家菜園不慎跌倒,竟遭硬如竹竿的玉米莖刺破頭,她自行拔出斷裂的玉米莖,血流如注。經送醫後,接受開顱手術順利取出顱內殘留的8公分玉米莖,加上頭部受傷部位影響功能不大,術後未留下偏癱或失語等任何後遺症。

收治陳女士的國泰綜合醫院神經外科張明元醫師指出,玉米莖從陳女士臉部右顴骨下方一路刺破顱底,造成臉部3公分傷口及顱底破裂,加上她患有心肌梗塞,心臟裝有5支血管支架,長期服用抗凝血藥,增加手術麻醉困難度。

經開顱手術先截斷玉米莖,分別取出3公分及5公分,合計共8公分玉米莖,再進行顱底重建,費時4-5小時順利完成手術。但腦部因玉米莖殘留的穢物,引發後續感染造成腦膿瘍,只得二次開頭顱拿掉壞死頭骨,之後再利用人工鈦金屬重建頭骨,現已康復出院,且未留下任何後遺症。

張明元醫師指出,一般頭部穿刺傷患者以遭木棍、鐵棒攻擊或槍傷居多,從未見過遭玉米莖刺穿頭部案例,且碰巧病人刺穿部位在右側顳葉,主要掌管記憶與情緒,病人術後恢復良好,且幸運地未留下任何腦部創傷後遺症,也算是不幸中的大幸。

他坦言,若刺穿的部份再稍偏一些,不是傷及視神經造成失明就是傷及腦幹,兩者後果均不堪設想。提醒民眾若不慎遭異物刺穿,不宜自行拔出,以免造成大出血,不利後續救治。

跌倒意外相當常見,有老人家半夜上廁所因視線昏暗或浴室太滑跌倒,有民眾因急著接電話,下樓不留神跌倒造成手腕、股骨骨折或頭部撞傷,也有小孩因頑皮與同學追趕玩耍,跌倒造成骨折或撞到頭,甚至在浴室跌倒,導致洗髮精瓶蓋直接刺穿肛門。要提醒老人家與小孩應留心避免跌倒。

分享此文:
請往下滑,繼續閱讀推薦好文
資料讀取中....