台中75歲的葉伯伯從年輕時就愛哈菸,菸齡迄今超過50年,但近年來他飽受慢性咳嗽之苦,不但在家爬樓梯就喘個不停,還會伴隨喘鳴聲,直嘆「心肝都快咳出來」,赴醫檢查確診為阻塞性肺病合併特發性肺纖維化,經申請特殊藥物治療,肺功能逐漸獲得改善,生活品質也得以提升。
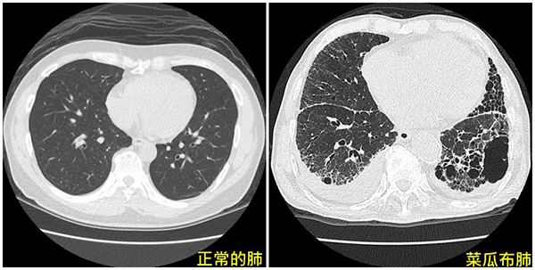
亞洲大學附屬醫院胸腔內科主治醫師郭家維表示,特發性肺纖維化是一種慢性、漸進性間質性肺炎,好發於50至70歲有吸菸史的男性,因患者肺部外觀和肺部電腦斷層影像如菜瓜布般呈現一絲絲的纖維,故又稱為「菜瓜布肺」,臨床症狀表現包括慢性咳嗽、漸進性活動性呼吸困難,且有些病患合併出現杵狀指(手指頭如鼓棒末端)。

郭家維說明,造成該病目前原因不明,但潛在危險因子包括吸菸(尤其每年抽菸超過20包)、環境暴露(如金屬或石材粉塵、耕作、美髮材料等)、慢性病毒感染、胃食道逆流及家族史等。此病進程緩慢,肺功能會隨時間持續衰退,最終因呼吸衰竭、合併其他併發症而死亡,若患者同時合併肺炎、肺氣腫、肺動脈高壓、氣胸、心臟衰竭等,更可能增加急性呼吸衰竭和死亡的風險。
由於葉伯伯本身是老菸槍,加上職業為油漆工,長期暴露於油漆、木材粉塵環境,導致罹病機率較一般人高。郭家維解釋,由於特發性肺纖維化的致死率高,且部分患者確診時已進入晚期,平均存活率不到1年。故一旦確診後,可經由專科醫師評估判斷,並申請治療藥物,積極配合醫師用藥指示,可有機會減緩病情惡化、增進生活品質。
郭家維提醒,若民眾感到呼吸困難、喘不過氣,或持續咳嗽超過3周,就應儘速赴醫檢查。因特發性肺纖維化的發生與胃食道逆流、肥胖、阻塞性睡眠呼吸中止症、肺動脈高壓、肺氣腫等疾病密切相關,若民眾有上述症狀,也應做好控制、定期追蹤,才有助於減少肺功能惡化、急性呼吸衰竭的發生。
