67歲的周先生,20年來經常有火燒心、胸骨後疼痛及間歇性吞嚥困難等症狀,長期服用胃食道逆流治療藥物卻無明顯改善。近年來吃飯或喝水時經常有食物卡在食道中的感覺,並伴隨嘔吐情形,因進食困難近幾個月體重快速下降10餘公斤,因此至臺北榮民總醫院接受進一步檢查。
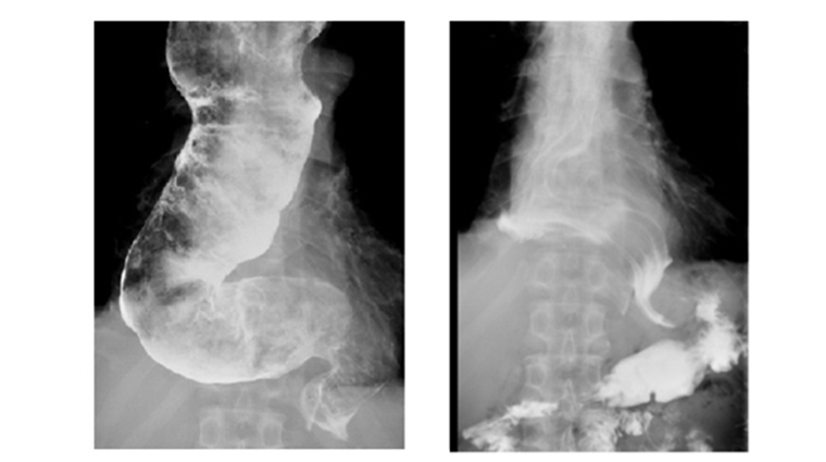
經上消化道內視鏡檢查發現,食道大幅彎曲擴張,且充滿未消化的食物。以食道鋇劑攝影觀察食道呈S型彎曲與鳥嘴型表現,吞入的顯影劑停留在食道無法進入胃部。進一步接受新一代高解析度食道動力學檢查,發現食道收縮蠕動功能喪失合併下食道括約肌壓力增加,確診為食道遲緩不能症第1型,在接受經口內視鏡下食道括約肌切開術(POEM)後,第2天即恢復進食且無吞嚥困難症狀,1個月後體重恢復,順利解決了10多年來的困擾。
臺北榮總內視鏡診斷與治療中心主任盧俊良表示,食道遲緩不能症是種少見的食道蠕動功能異常疾病,其病因不明,推測可能與病毒感染相關。致病機轉為食道肌肉收縮功能喪失與下食道括約肌放鬆失能。初期症狀為偶有逆流,經過數個月至數年逐漸進展為吞嚥困難與胸痛,嚴重時則會進食後嘔吐並伴隨體重減輕等情形。此一疾病臨床症狀變化速度慢且類似胃食道逆流,經常造成誤診,需要進行一系列完整的檢查方能確診。
臺北榮總引進最新高解析度食道動力檢測儀,利用1條具有32個固態壓力感測器的導管,經由鼻腔置放至食道中測量並繪製清晰的食道壓力圖。相較於傳統食道壓力檢測儀,新型儀器具有檢查時間短,檢查成功率高,且對於食道遲緩不能症診斷率上升1倍。
食道遲緩不能症之治療,傳統以內視鏡氣球擴張術、腹腔鏡Heller氏食道括約肌切開術為主。而經口內視鏡下食道括約肌切開術(Per-Oral Endoscopic Myotomy, POEM),是近10年來新發展的微創內視鏡手術。此新技術具有無體外傷口、術後恢復快速及安全性優於傳統治療等優點。治療效果上也與傳統治療不相上下或更優(如第3型的食道遲緩不能症)。

▲手術前食道攝影圖(左)、手術後食道攝影圖(右)。(圖/臺北榮民總醫院提供)