少年頭痛合併眼動異常頻跌倒 水腦併中腦腫瘤是病灶

3768
陳盈臻 報導
頭痛
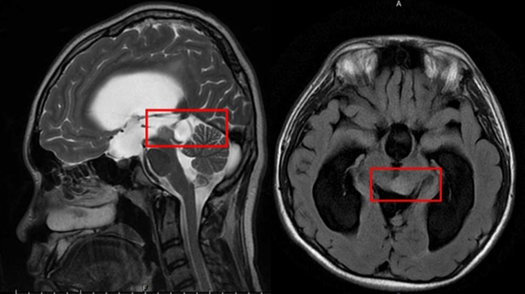
▲15歲男童日前因頭痛不適昏倒,經腦部核磁共振檢查確診為水腦併中腦腫瘤(紅框處)。(圖/台大醫院新竹分院提供)

【NOW健康 陳盈臻/新竹報導】1名15歲男童日前因頭痛不適昏倒,被家人緊急送往急診,經診斷疑為水腦合併癲癇,施以抗癲癇藥物治療。但男孩父母對癲癇病情仍有疑慮,故改往台大醫院新竹分院小兒神經科門診就醫。透過檢查,發現男孩眼動受限,眼睛無法往上看及往外側注視,醫師問診發現,他從小學4年級就開始頭痛,且因眼動受限而時常跌倒。經腦部核磁共振檢查確診為水腦併中腦腫瘤,立即安排手術治療。


台大醫院新竹分院小兒神經科醫師張寶玲表示,在臨床經驗中,頭痛是病童最常出現的問題,尤其是小學高年級及國、高中學童;其中大部分為原發性頭痛,如偏頭痛及緊縮型頭痛等。然而,如果頭痛日漸增強或頻率增加,且併有不對稱之神經學異常,如:單側肢體無力、抽搐、眼動異常、步態不穩或有全身性症狀,如:發燒或體重下降等,應注意有可能是「繼發性頭痛」,也就是明確病因所引起的頭痛,如:感染或腫瘤所致,民眾應立即就醫治療。


張寶玲指出,青少年常有的「原發性慢性頭痛」,通常與心理狀態及生活習慣有關,如:壓力、憂鬱焦慮、睡眠障礙、阻塞型呼吸中止症或長時間使用3C產品且姿勢不良等引起。不僅是生理問題,也會連帶影響課業表現、人際互動及生活品質,也易加重憂鬱、焦慮及造成抗拒就學、常請假等現象。


張寶玲提到,處理慢性頭痛時除了要排除繼發性頭痛的原因外,另需細心問診及評估病童心理及精神狀態,如情緒、同儕相處及課業問題等。針對頭痛患者除藥物治療外,也可考量壓力處理技巧等非藥物治療方式。如果是因睡眠問題引起之頭痛,則需另作相關評估及處理睡眠問題。提醒家長,如果家中小朋友有長期頭痛問題,甚至影響人際關係,建議儘早就醫檢查!


更多NOW健康報導
▸思覺失調症非不治之症! 中西合併治療妙齡女重拾人生
▸高散光近視族群拒絕惡視力 高降度角膜塑型片成新寵

分享此文:
請往下滑,繼續閱讀推薦好文
資料讀取中....