【NOW健康 王詩茜/台北報導】60歲的林女士,患有嚴重咬合不正長達數十年,近年來,因牙周病的緣故,咬合狀況更差,僅剩後方兩顆臼齒能咬合,導致嘴巴長期呈現開咬,漸漸演變成習慣以口呼吸,也使她對自己外貌缺乏自信,不敢露齒微笑。
多方評估下選擇新式數位精準植牙 60歲婦術後可立即進食
為了改善問題,林女士曾求助各醫療院所,但皆被告知以傳統植牙方式治療。傳統植牙的療程與恢復期所需時間較長,再加上治療成效不確定,幾番輾轉下,林女士最後來到台北慈濟醫院牙科部尋求其他解決方式。宋旻怡醫師在評估臉部外觀和口內咬合狀況,建議她接受數位精準植牙,術後立即裝上臨時假牙,不僅能立刻進食也能嶄露自信微笑。

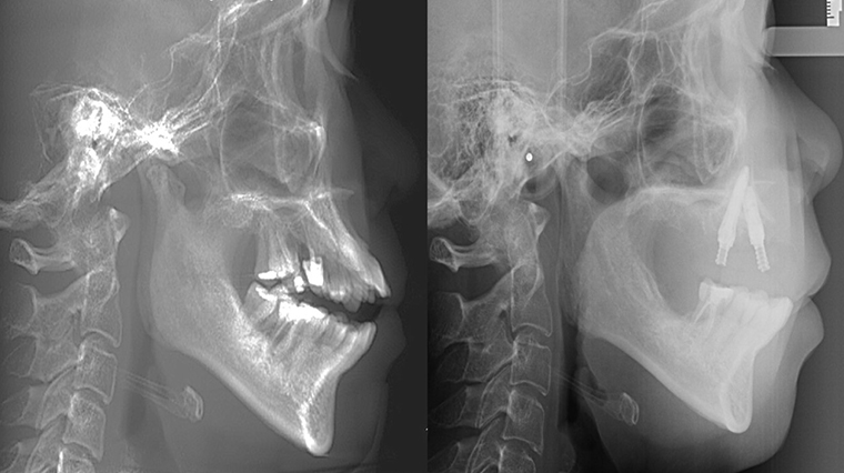
▲治療前,前牙嚴重開咬且上顎牙均有嚴重牙周病,導致上唇外暴。(左);治療後,利用植牙讓上顎前牙內收排列,使上唇恢復自然閉合,臉部輪廓自然美觀(右)。(圖/台北慈濟醫院提供)
傳統植牙治療程序繁複 置入牙根有精準度不佳的問題
植牙是治療牙齒缺損的方式之一,宋旻怡說明,醫師會將無菌的人工牙根以手術方式植入齒槽骨,待4到6個月的時間,二者緊密結合後,即具有原始牙根的功能,可以支撐人工假牙,取代缺牙。
宋旻怡醫師指出,傳統的植牙方式會先以電腦斷層確認病患齒槽骨狀況,並用病人的顏面做模型標記,將模型固定在咬合器上,待患者離開後,依據咬合器製作假牙。但這種做法不但在之後置入人工牙根時,容易導致位置誤差、無法符合臉型,也需歷經拔牙、矯正、植牙等繁複的治療程序,造成患者的生活品質往往備受影響。
新式植牙方式提高精準度 術後臨時假牙協助度過無牙尷尬期
幸好,除了傳統植牙外,還有其他選擇。「隨著醫學日益進步,植牙的方式也從術前一般電腦斷層的檢查,進步到口內掃描、3D電腦重組軟體和數位導航機導行植牙,使病患術後能快速回歸正常生活。」宋旻怡說明數位精準植牙的方式:先取得病人顏面跟口腔的影像,事先以電腦規劃植牙位置深度,再以3D軟體模擬假牙位置,最後將假牙立體圖重疊至臉部,確認與病人臉型是否吻合,如果吻合,便可同步製作臨時假牙。其中,數位導航機亦能協助牙科醫師準確判斷牙根位置,提高牙根植入的精準度。
所以不同於傳統植牙的方式,精準數位植牙可以讓病人在人工牙根植入後、正式假牙植入前,就有臨時假牙使用,度過沒有牙齒的尷尬期。而這個新式治療,主要運用在植牙範圍與誤差值大如全口、門牙等不可預測度高的位置。
宋旻怡最後表示,現今植牙的方式相當多元,有植牙需求的民眾術前應接受全面性評估,與醫師討論適合自己的治療方式。同時也提醒植牙患者,術後仍要維持良好的口腔衛生習慣,才能讓治療成果長久陪伴自己,免於缺牙不便。