【NOW健康 葉立斌/台北報導】在2020年以《同學麥娜絲》拿到金馬最佳男配角,現年41歲的藝人納豆驚傳腦出血住院治療!媒體報導,納豆傳出在24日晚間住院治療,原因疑似為腦出血。經紀人在FB發表聲明,未詳細說明病因。新北市長侯友宜也在FB為外甥加油打氣。腦血管相關疾病占國人死因前5名,好發年齡也不斷下修,就連41歲的納豆,不到40歲的健身網紅「筋肉爸爸」也都因腦血管疾病倒下。
什麼是腦出血? 症狀是什麼?
恩主公醫院神經內科醫師朱海瑞表示,腦出血又分為出血型與梗塞型,約有8成是腦血管梗塞造成,一般是無預警發生,臨床症狀上大多有單側手腳無力、臉部歪斜、口齒不清等症狀,年紀、高血壓、高血脂等慢性疾病都是高危險因素。可能患病的的高風險族群皆為高齡者,以及三高、菸酒不離身的族群。兩者症狀大致相同,除了單側手腳無力、表情不對稱以外,也有頭痛、頭暈等症狀。(▸延伸閱讀:「小胖老師」袁惟仁腦溢血變植物人 慎防出血性腦中風)
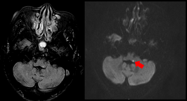
談到頭暈,朱海瑞醫師說明,暈眩分為「周邊型眩暈」以及「中樞型眩暈」,前者和耳部的前庭系統受影響有關,分為前庭神經炎、梅尼爾氏症,良性陣發性姿勢性眩暈等,這類型感到的是天旋地轉的暈,而中樞型眩暈最常見於小腦及腦幹中風患者,可能伴隨著腦中風典型狀況。朱海瑞醫師日前收治一名80歲有三高的婦人,某天起床時感到頭暈目眩,甚至想吐而就醫。因考量到婦人80歲的高齡還有心血管病史,因此會診神經內科,透過腦部核磁共振檢查,診斷老婦人是腦幹梗塞型中風。

▲透過腦部核磁共振檢查,箭頭處亮點為血管梗塞位置,醫師診斷老婦人是腦幹梗塞型中風。(圖/恩主公醫院提供)
該如何預防呢? 三高患者尤應特別注意
在預防上,朱海瑞醫師建議民眾,如有三高,必須配合醫囑用藥,並定期做檢查。沒有三高的人,可嘗試調整飲食,例如地中海型飲食就能試試看,並且規律運動;當然遠離菸酒,是一定要的。年長者也應注意保暖,適量運動,保持良好血液循環。(▸延伸閱讀:全球飲食指南年度評比出爐 地中海飲食連4年穩坐第1)
中風徵兆有哪些? 謹記「臨、微、不、亂」口訣
▸「臨」時手腳軟:單側手腳無力,或單側舉不起手腳。
▸「微」笑也困難:臉部表情不對稱,或嘴角歪斜。
▸講話「不」清楚:口齒不清或無法表達。
▸別「亂」快送醫(Time):看到以上其中一種徵兆,立刻記下發作時間,通知119緊急送醫。