【NOW健康 連珮妤/台中報導】台中林姓計程車司機連續多日喉嚨痛不以為意,每天都還跟客人說說笑笑,直到日前發現張口困難、講話含糊不清,連喝口水都「有如刀割」,連忙衝去就醫,檢查發現右側扁桃腺周邊組織嚴重化膿腫脹,且有敗血症跡象,只好趕緊安排切開引流手術及給藥治療,所幸術後化險為夷,又能重新上工拼經濟!
喉嚨痛別輕忽! 痛好幾天恐患扁桃腺周圍濃瘍 需手術切開引流
亞洲大學附屬醫院耳鼻喉科主治醫師蔡慶諭表示,喉痛是上呼吸道感染的症狀之1,造成喉嘴痛的原因以感染發炎為最常見,依部位及嚴重程度區分,輕者包括鼻咽炎、咽喉炎、扁桃腺炎,嚴重者則有會厭炎、扁桃腺周圍膿瘍等,許多民眾可能對喉嚨痛不以為意,但後者若輕忽甚至置之不理,則可能會有生命危險。
蔡慶諭指出,林姓患者本身並無慢性病史,不過到門診時,因喉痛導致幾乎無法流暢描述症狀,僅表示喉嘴痛了5天,期間有問歇性發燒,原本以為只是小感冒,便到藥局買成藥服用,然而症狀沒有好轉,反倒出現說話含糊不清及喘不過氣症狀,他苦笑說「現在連喝1口水都得痛到分3次才能吞下去」。

▲醫師提醒若民眾長時間喉痛、張口困難,務必盡快就醫檢查。(圖/亞洲大學附屬醫院提供)
於是先安排理學檢查,發現病患張口困難,且疼痛以單側為主,內視鏡檢查右側扁桃腺已有化膿情形,扁桃腺周圍組織如軟顎、側咽壁都嚴重腫脹,連懸壅垂都被推移至對側,因此確診為「右側扁桃腺周圍濃瘍」,抽血檢查結果也有敗血症跡象,於是安排病人住院接受膿瘍切開引流手術,經給予抗生素及輸液治療後,順利在5天後康復出院。

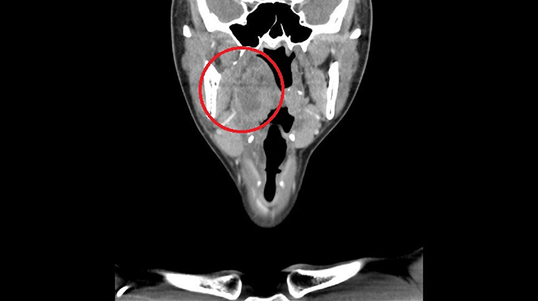
▲影像檢查結果顯示患者的扁桃腺及周圍組織明顯腫大。(圖/亞洲大學附屬醫院提供)
扁桃腺周圍膿瘍未及時治療 嚴重會影響心臟造成致命危機
蔡慶諭提醒,「扁桃腺周圍膿瘍」是細菌感染所致,主要是扁桃腺周圍的小唾液腺發炎化膿,因積膿無法排出而導致周圍軟組織腫大,除了會有喉嘴痛、發燒、張口困難、吞嚥困難或說話時含糊不清等表現外,若未及時治療,膿瘍會向其他深頸部潛在空間擴展,甚至向下到縱膈腔影響到心臟造成致命危險。
蔡慶諭也提醒,除了給藥、切開引流,一般也會將抽取出的膿汁進行細菌培養,以利後續調整抗生素,此外,有別於常見的扁桃腺發炎,扁桃腺周圍膿瘍造成的喉嚨痛多為單側,也較容易造成張口困難,只要能提早發覺症狀,盡快就醫,多半能在數日內恢復正常,民眾切莫輕忽喉嚨痛,以免演變致命危機。
更多NOW健康報導
▸別被「沉默殺手」打敗! 國健署籲國人定期量血壓預防
▸【全台護心大串聯】心絞痛、高血壓、高血脂講座報名