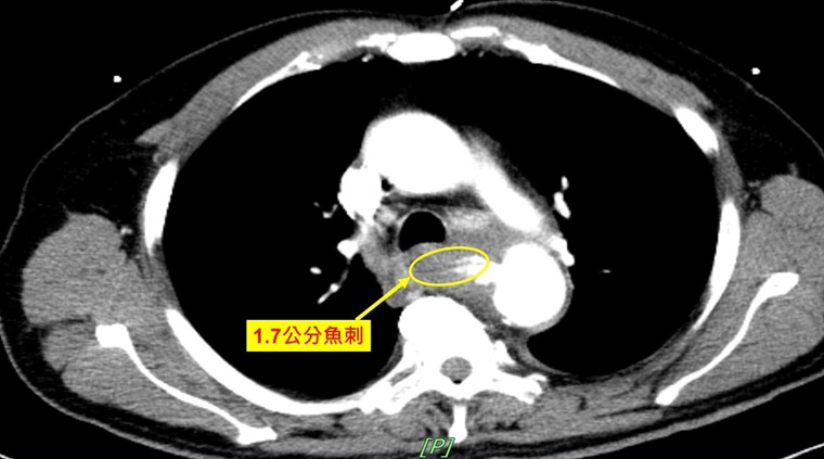
【NOW健康 連慧婷/台南報導】72歲男士阿財(化名),去(111)年9月時,因發燒、背痛、右上腹痛由救護車送至奇美醫院急診就醫,抵達急診室時,血壓只有81/65mmHg(正常值為120/80mmHg)。阿財告知醫師,1個月前吃吳郭魚時,有誤吞魚刺,但因身體無礙並未就醫,結果急診醫師經影像學檢查發現,患者疑似主動脈瘤破裂,立即通知心臟血管外科主治醫師吳依璇協助處置,經診斷後,醫師研判是因長達1.7公分的魚刺穿破食道與主動脈,而導致主動脈食道廔管,並造成腸胃道穿孔、大量出血,因此緊急執行主動脈內覆膜支架置放手術,穩定生命跡象。

▲誤食1.7公分魚刺竟造成腸胃道穿孔,甚至導致主動脈食道廔管,而危及生命。(圖/奇美醫院提供)
誤食魚刺後竟致「主動脈食道廔管」 嚴重恐引敗血性休克
奇美醫院心臟血管外科主治醫師吳依璇指出,食道就在主動脈的前方,食道的嚴重穿刺傷恐導致主動脈的高壓血液透過相連接之廔管(傷口)全往食道灌注,若未及時治療,恐造成大吐血、膿胸、敗血性休克等情況。
「主動脈食道廔管」是1種危及生命的急症,更是誤食異物後死亡率最高的狀況,也是1種非常罕見但致命的疾病,必須早期警覺並及時治療。根據國外醫學文獻統計顯示,主動脈食道廔管致死率極高,即使經多次手術,也只有6成的病人能存活出院,4成的病人存活滿1年。
透過3階段手術治療主動脈破裂 及時挽救生命
吳依璇醫師說明,在過去的10多年間,拜新科技「主動脈內覆膜支架置放手術」之賜,越來越多主動脈破裂的病危病人,得以迅速接受手術後挽回生命,再加上主動脈內覆膜支架置放手術傷口很小,以致傳統開胸或開腹進行主動脈手術已經較不成主流.但是像阿財的情況,就需要併用2種手術方式,經過3階段手術才得以救命.在阻止主動脈大出血的情況下,阿財才能接受足夠的抗生素治療到血液培養陰性,並接受後續多次手術,最後得以存活。
根據目前文獻,對於主動脈食道廔管的病人有3階段的處置方式。第1階段「主動脈內覆膜支架置放手術」是穩定血液動力學的第1步,先讓病人撐過大出血休克;第2階段是接受「食道切除」及「胸主動脈切除」,清除感染源,並「以人工血管置換主動脈」;第3階段為「食道重建手術」,以胃部或大腸進行食道重建.中間還要輔助以抗生素的治療,以及後續復健的過程漫長且辛苦!
吳依璇表示,主動脈食道廔管會造成主動脈破裂大出血,進而導致死亡,民眾如有誤食異物的情況,千萬不要嘗試大口吞飯、喝醋,或者以手指催吐或採用偏方,否則可能會讓異物越卡越深,反而加重病情,並造成2次傷害。老話一句,預防勝於治療,進食的時候還是要多加小心!
核稿編輯:陳如頤
更多NOW健康報導
▸不孕是女人肚子不爭氣? 中醫觀點男女同步調理助好孕
▸《人工生殖法》將列入代理孕母 誰適用?各方意見不同