【NOW健康 陳郁茹/宜蘭報導】31歲吳姓男子凌晨開車不慎打滑,撞向對向來車導致車頭全毀,踩煞車的右腳在劇烈衝擊下95%斷裂,影響部位包含腳骨、血管、肌腱、神經等,右腳與身體僅剩薄薄皮膚相連!羅東博愛醫院骨科足踝專科醫師王秋猛為其清創、縫補骨骼血管肌腱,花費9小時順利接合足踝組織,而吳男術後在積極復健下免於截肢命運,半年後已能走能跑,恢復日常生活。
斷肢要把握救援黃金時間! 3關鍵治療影響成效
據悉,吳男被緊急送至醫院時,斷肢處沾滿油汙和砂石,加上下肢末端足踝組織複雜精細,重建難度相當高,差點面臨截肢命運!王秋猛在評估後發現 有機會接回重建,因此把握黃金時機,1小時內手術團隊到位後,備妥手術室即展開馬拉松接合手術。
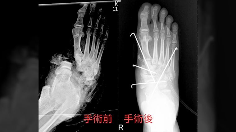
關於治療情況,王秋猛指出,為了防止細菌感染,醫護人員在幫吳男接回斷肢前,花費長時間把沾滿機油、砂石的傷口髒汙逐一剔除,手術時則在斷骨處先以4根骨釘固定,並依序縫補接回肌腱、神經、血管共10餘條組織;一旦骨骼接合錯位或肌腱血管神經對接錯誤,可能導致組織壞死,手術難度極高。
王秋猛坦言,足踝是下肢重要關節,結構繁複精細,必須對後足解剖構造有十足了解把握才能準確接回斷肢。將患者大部分斷肢接回並縫補後,才由羅東博愛醫院整形外科醫師林祁岷接續進行血管顯微手術,手術過程耗時近9小時,術後觀察3天傷口也無感染、惡化及壞死,顯見清創確實、斷肢重建成功、感染科抗生素組合投藥精準。
吳男術後恢復快速 不用半年已能正常行走
吳男術後積極復健,同時搭配高壓氧療程,傷口組織修復快速,3個月後就能拆下鋼釘練習走路,4個月後即重回工作崗位,不到半年已能恢復正常行走、重拾生活步調,外觀與常人無異。

▲吳姓男子術前術後的x光照。(圖/羅東博愛醫院提供)
羅東博愛醫院院長王文斌表示,羅東博愛醫院具備完整精實的急重症醫療量能,為每一位病人爭取最大可能性,此次有賴骨科、整形外科、感染科、手術室、復健醫學科團隊介入與合作,才能成功救治斷肢個案,不只接回還恢復足功能,完成幾近不可能的任務。
# 首圖來源/Freepik
更多NOW健康報導
▸如何善終?《病主法》滿5年 落實讓活著的人活得更好
▸【專題】面對男女頭號癌症殺手別怕!