【NOW健康 連珮妤/新北報導】55歲的張女士日前因腹痛1個多月,本以為是腸胃症狀,至地方診所看診服藥後仍舊疼痛不止,遂至台北慈濟醫院婦產部門診就醫,經超音波檢查後發現竟是放置10餘年的銅製避孕器穿透子宮,引起腹腔嚴重發炎感染,且出現小腸沾黏,邱筱宸醫師以電腦斷層確認避孕器的確切位置後,執行子宮開腹切除術將子宮摘除,並仔細清理子宮及小腸的沾黏情況,術後病人恢復良好順利出院。

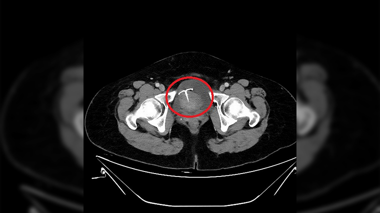
▲電腦斷層影像顯示避孕器已經穿透子宮,須執行子宮開腹切除術將子宮摘除。(圖/台北慈濟醫院提供)
子宮避孕器分2類! 目前以黃體素避孕器為主流
子宮內避孕器是現今女性常見的避孕選擇,可分為銅製宮內避孕器與黃體素避孕器,銅製宮內避孕器的原理是將避孕器上纏繞銅絲,使其於子宮內釋放銅離子,造成子宮內膜輕微發炎,讓身體誤以為現在是不適合受孕的時機,藉此干擾受精卵著床。
黃體素避孕器則是利用定期釋放黃體素的方式,增加子宮頸黏膩濃稠度,並使子宮內膜變薄,阻礙精子與卵子結合與著床,藉此達到避孕的效果。邱筱宸醫師指出,傳統銅製宮內避孕器較容易產生不良反應,且相較於黃體素避孕器更無法貼合子宮,因此目前多以黃體素避孕器為主流,其優點在於能夠隨時取出且生育能力很快便能恢復。
僅有少數會穿破子宮! 放置子宮避孕器前後注意事項1次看
根據統計,子宮內避孕器約有千分之8的機率會排出體外,甚至有千分之2的機率會穿破子宮掉入腹腔,導致腹痛、發炎,引發腸沾黏的問題發生。邱筱宸醫師表示,子宮避孕器會穿透子宮,並非裝設時的問題,而是避孕器對子宮來說是1種「異物」,無法完全貼合子宮的立體空間,所以身體會排斥它,因此避孕器容易透過子宮進入腹腔裡,掉出的避孕器若卡在患者膀胱,會產生血尿,而掉進腹腔也可能引發化膿發炎,嚴重甚至會造成敗血症和腹膜炎。

▲台北慈濟醫院婦產科醫師邱筱宸說明避孕器穿透子宮的位置。(圖/台北慈濟醫院提供)
邱筱宸醫師提醒,避孕器的能否置入需視個人情況與醫師判斷而定,如經醫師診斷月經量過多、懷疑有子宮腫瘤或罹患癌症者便不適合放置子宮內避孕器,而有些避孕器裝置時間一長便會產生細菌,形成腹腔慢性感染,器官組織還可能沾黏纖維化,甚至腸阻塞。
因此,置入後前3個月與後續每年,都需透過超音波追蹤避孕器位置是否正確,且避孕器的放置期限為5年,5年後須回診取出,避免產生不可逆的嚴重併發症。
# 首圖來源/Freepik
更多NOW健康報導
▸婦人受子宮內膜異位症所苦多次流產 積極治療做人成功
▸【專題】面對男女頭號癌症殺手別怕!