【NOW健康 連慧婷/新北報導】67歲的李先生2年前開始有左耳的情況,時常聽不清家人說話的聲音,原以為是年紀漸長所導致的老化性聽力障礙,因此並不以為意。直到半年前情況越發加重,甚至時常聽見「嗡嗡嗡」的雜音,加上四肢出現麻刺感,嚴重影響日常生活品質,才輾轉來到台北慈濟醫院神經外科門診。透過小腦核磁共振檢查,徐賢達主任確認李先生罹患的是「聽神經瘤」,遂安排「耳朵後入路手術」將腫瘤移除,所幸他術後恢復狀況良好,耳朵不再聽到吵雜聲。

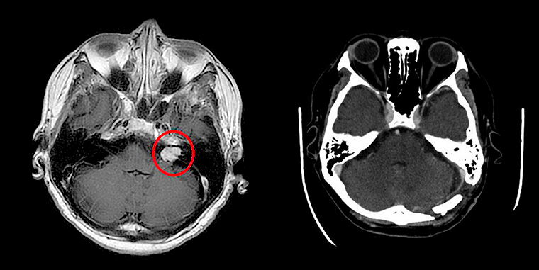
▲術前核磁共振顯示紅圈處有一小於2公分大的腫瘤(左);術後電腦斷層可以確認腫瘤已完整取出(右)。(圖/台北慈濟醫院提供)
容易被誤以為是聽力退化! 聽神經瘤症狀與原因報你知
人體總共有12對腦神經,聽神經是其中1對感覺神經,位於內耳,由掌管聽力的耳蝸與負責平衡的半規管所組成,周圍還有顏面神經,分別從小腦連接到腦幹。「聽神經瘤」指的是負責平衡神經形成的腫瘤,其發生原因尚不明確,但可能與年齡增長、遺傳因素、基因突變、輻射暴露、罕見血管增生疾病VHL症候群有關。
徐賢達主任說明,聽神經瘤屬於常見良性腦瘤,根據不同地區和研究,聽神經瘤的盛行率大約在10萬分之1到2左右,多數發生在單側,且生長速度很慢,容易被誤以為是聽力退化,但當腫瘤生長大於2公分且壓迫到聽神經或顏面神經時,就可能會有聽力損失、耳鳴、耳朵有壓力感等症狀,嚴重可能導致平衡異常、面部麻木。若是沒有及時處置,使腫瘤進一步成長壓迫至腦幹,就會有危及生命的風險。
如何抑制聽神經瘤變大? 醫曝常見治療方法
一般而言,聽神經瘤的治療策略通常是抑制腫瘤變大或手術切除腫瘤。抑制腫瘤變大的方法為直線加速刀,是1種利用高劑量的輻射線照射腫瘤的放射線治療,但卻有造成聽神經遲發性聽力喪失的可能,而手術方式可以分為耳朵後入路手術、耳朵上入路手術以及中耳入路手術,術式選擇取決於腫瘤的大小、位置和患者聽力狀況。
大部分患者的術式選擇會是後入路手術,以李先生為例,首先醫師會在後顱窩處劃1道7公分開口,在高倍率顯微鏡的輔助下,磨掉內耳道骨骼並深入病灶,同時利用監測器探測腫瘤是否有與周邊神經沾黏,最後再將腫瘤移除,過程中需要隨時注意監測,避免傷害周圍重要神經,造成病患不可逆的傷害。
聽神經瘤初期症狀並不明顯,可能與退化性聽力障礙相似,因此徐賢達主任提醒,若民眾自覺有聽力下降、雜音干擾等狀況時,建議先尋找專業耳鼻喉科醫師進行檢查,避免延誤疾病初期治療。
# 首圖來源/台北慈濟醫院提供
更多NOW健康報導
▸運動風切恐引起眼睛乾澀不適? 醫曝乾眼症治療2方向
▸【下班聊健康】不想毛手毛腳!除毛大小事專家解迷思