【NOW健康 連珮妤/台中報導】58歲簡阿姨從不抽菸,前幾個月卻突然久咳不停,痰液濃稠偏黃,且帶有血絲,吃藥後雖稍有改善,幾週後又變本加厲,近日還合併發燒,食慾也連帶受影響,就醫檢查後發現,左肺下方的支氣管變得粗大,裡面全被痰塞滿,確診為「支氣管擴張症」,幸好透過藥物及呼吸復健,症狀出現大幅改善,讓他擺脫「酷酷嫂」人生!

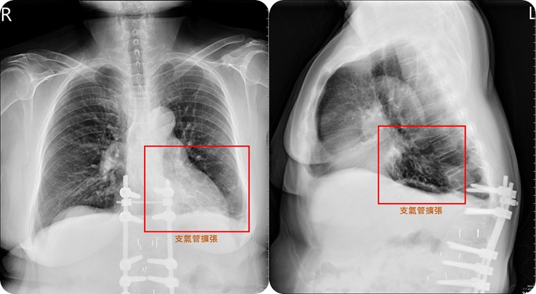
▲患者左下肺部的支氣管嚴重擴張,出現各種不適症狀。(圖/亞洲大學附屬醫院提供)
支氣管擴張症為慢性咳嗽原因之一 長期未治療恐增呼吸衰竭風險
亞洲大學胸腔內科主治醫師謝逸安表示,慢性咳嗽原因很多,常見包括急性感染(如黴漿菌)、慢性呼吸道疾病(如氣喘、肺阻塞),或是肺部以外器官的問題(如鼻涕倒流、胃食道逆流等),甚至一些非感染性的全身性發炎疾病都可能是引起久咳不癒的原因之一,例如常見的「支氣管擴張症」。
謝逸安指出,支氣管擴張症的中文翻譯過於簡化,病患在聽到的當下往往摸不著頭緒,簡單來說,支氣管擴張症主要是肺部支氣管壁因為先天(基因)或後天的原因導致結構遭到破壞,小支氣管失去彈性彎曲及擴張,形成永久不可逆性的擴張,使痰液容易堆積,而支氣管壁上負責執行痰液清潔的纖毛,也因反覆發炎遭到破壞,使病況雪上加霜。
謝逸安表示,支氣管擴張症病患最常出現的症狀就是咳嗽不止,不僅早晨會咳出又髒又濃的黃痰,甚至還可能引發血痰、呼吸困難及胸痛等併發症,呼吸道感染頻率也會隨之增加,若是長期未治療,還會導致食慾減退及容易疲倦,增加呼吸衰竭的風險。
久咳不癒超過半個月勿輕忽! 及早就醫清除痰液改善症狀
因此,謝逸安提醒,支氣管擴張症就是1種慢性病,目前尚未有可恢復已破壞支氣管健康的治療方式,但若能適當的清除痰液,就能有效地避免支氣管擴張症持續惡化,目前治療重點會以非藥物的痰液清除方法為主,藉由適當的姿勢引流、拍背、學習呼吸控制及氣道清除技術,再搭配化痰藥及排痰劑、吸入性支氣管擴張劑,多半能改善症狀。
簡阿姨在接受適當治療1個多月後,咳嗽濃痰情況大幅改善,也未再有咳血情形,生活品質也逐漸變好,謝逸安也提醒,慢性咳嗽原因眾多,民眾若久咳不癒超過半個月,就應主動尋求胸腔科醫師協助,且療程期間要積極就醫並且耐心配合醫師,才有機會可以把慢性咳嗽治療得好。
# 首圖來源/亞洲大學附屬醫院提供
更多NOW健康報導
▸【下班聊健康】妹妹癢怎麼辦?女人該懂的私密處保養
▸近視雷射解除高度近視危機 醫揭傳統與新式雷射優缺點